
Classic Art Dental Lab Training
Transform Your Skills. Elevate Your Career. Build Smiles With Confidence.
Welcome to Classic Art Dental Lab, Omaha’s hands‑on training center for denture fabrication and removable prosthetics.
We are a working dental laboratory dedicated to teaching the real techniques used in today’s modern removable workflows — both analog and digital.
We are based in Omaha, Nebraska, and offer affordable and high-quality dental solutions. Our team uses digital technology to achieve precision, fit, function, and esthetics when crafting dental restorations and other products. Our mission is to combine the latest technology with artistic skill to consistently produce natural-looking beauty and exceptional functionality. Students will learn from Experienced Professional.


Whether Dentures, Partials, Nightguards, Relines, Repairs, Retainers we assist Dentists in surpassing expectations by achieving the perfect harmony between aesthetics and functionality. Our technicians can visit your dental practice to assist you, the dentist, with case planning, appliance design, and technical considerations—always under your direction and within the scope of laboratory practice.


Quality Dental Services




Partials
Dentures


3D Digital Design
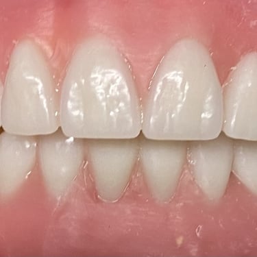
We provide both full and partial dentures to replace multiple missing teeth or an entire dental arch. We use premium teeth, color-stable acrylic for durable and natural-looking dentures.
Denture are carefully crafted with precision and attention to detail to ensure perfect fit and natural look to enhance your ability to speak, eat, and smile with confidence .We use only the highest quality materials and under strict quality control that meet FDA guidelines.
Our 3D dentures are designed with efficiency in mind. Thanks to our streamlined processes and state-of-the-art equipment, we can deliver your dentures faster than traditional methods. No more lengthy wait times - you'll be enjoying your new smile in no time.
Great service and excellent results!
GALERY


Classic Art Dental has transformed my smile and boosted my confidence.


The team at Classic Art Dental is professional and caring. I highly recommend them.


I'm so happy with the results of my dental work. Classic Art Dental is the best!
CONTACT US
Our office
6901 Dodge St. Suite#100
Omaha, NE 68132
Hours
Monday - Friday
9 am - 6 pm
Phone: 402-312-1876
Email: info@classicartdental.com
